精密根管治療について
こんにちは。MMデンタルクリニック勤務医の久本です。
本格的な夏を迎え、
うだるような暑さが続いていますが、
皆さま夏バテなどされていませんでしょうか。
夏バテで免疫力が低下すると
歯周病などのお口のトラブルも増加してしまいます。
体調管理にはくれぐれも気をつけて、
暑い夏を乗り切りましょう。
さて、タイトルにもあります通り、今回は私が今、
一番力を入れている治療をご紹介します。
それは「精密根管治療」です。

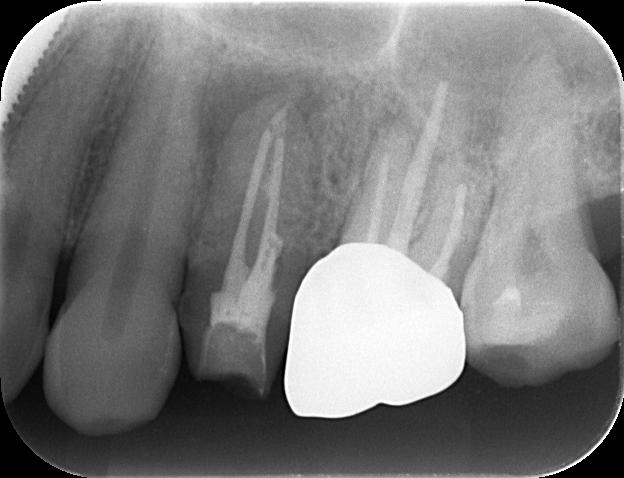
こちらの画像は、
MMデンタルクリニック東京院で行っている
歯科用拡大顕微鏡(マイクロ)を用いた
精密根管治療の様子 です。
従来の保険適用で行う根管治療では、
病巣の原因となっている
部位をレントゲンで確認します。

精密根管治療も従来の保険根管治療のどちらも、
歯の神経である歯髄(しずい)にまで進行した
虫歯の根管とよばれる管状の組織のなかから
細菌に感染した歯髄を取り除く治療です。
しかし、画像を比較して頂ければ一目瞭然ですが、
治療の精度には大きな差があります。
保険の根管治療では、非常に小さな根管内部を
肉眼と手の感覚を頼りに治療するため、
歯の中の細菌を多く取り残したりして
再度の治療が必要になる
可能性が高いのが現実です。
精密根管治療では、
マイクロスコープを使用し拡大して見えるため
根尖部まで器具を入れやすくなり、
より正確な治療が可能です。
再治療を行う事に、
歯にはダメージが蓄積します。
そのため、精密根管治療は結果として
より歯の寿命を延ばすことのできる
治療と言えるのです。
まだ、耳慣れない方も多いかと思われますが、
非常に有用な治療方法になりますので、
ご興味やご質問等ありましたら
是非お気軽にお問い合わせください。
治療を開始する前に
無料でのご相談もお受けしております。
MMデンタルクリニック
〒220-0012
神奈川県 横浜市西区みなとみらい3-3-1 三菱重工横浜ビル3階
TEL:045-225-0933
URL:https://www.mm-dental.jp/
Googleマップ:https://g.page/r/CeX_R3uQrX2REAE


